Implant Dentistry: Replacement of Missing Teeth with Predictable Crestal Bone Levels
Abstract
Crestal bone resorption and peri-implantitis frequently present problems to dental implantology. Wherever possible, it is important to maintain crestal bone levels, a major goal of all dental treatment. Platform-switching restorations and the placement of dental implants with fine-threaded necks at the top of the implant can be a major factor in maintaining the crestal bone, which should be the objective of all dentists who seek to gain and maintain a healthy periodontium.
Per-Ingvar Brånemark coined the term osseointegration in 1977, originally defined as "a direct contact between ordered living bone and the surface of a load-carrying implant, without interposed soft tissue, when viewed at the light microscope level."1 This point of contact is thought to affect changes in crestal bone levels.
The design of an implant is also responsible for affecting the crestal levels of the bone wherever the implant is placed. Clinicians have searched for ways to control the crestal bone loss that occurs after an implant abutment placement. The considerable discussion and speculation about the implant–abutment connection in regard to the bone level margin emphasizes the design of an implant as well as the dimensions of the implant and abutment and its placement as possible causative factors of marginal bone loss. There can be a microgap, or space between the implant and abutment connection, if not properly seated. This space will allow bacteria to accumulate and potentially lead to bone loss at this junction.
In 1998, Norton suggested that a roughened titanium surface on the implant could ease the problems of maintaining crestal bone level.2 In 2001, a roughened fixture with a conical collar that had the benefit of additional narrow microthreaded retention elements was studied. Microthreads help to maintain bone level because of the very small space between the threads which, in placement, allow where possible for a closer adaptation of the implant to the bone. Exposure of these threads or a roughened collar surface increases the risk of greater bacterial plaque formation. There is increased surface area for plaque to accumulate and, because of the roughness, it is more difficult for the patient to clean and the dentist/hygienist to maintain. As a result of this, with more plaque present in the area, there is an increased risk to inflammatory response. After recording 5 years of active use in full function, Quirynen, Navert, and von Steenberghe noted only insignificant marginal bone loss, thus supporting the use of a roughened implant3 for improved osseointegration.
Platform Switching
Narrower implants and shorter abutments are now favored.4 Where appropriate length to retain an implant is available, a narrower implant can result in less trauma to the alveolar bone in placement. Fewer drills are required to prepare the area which can decrease the trauma to the bone, potentially reducing the risk of bone loss around the implant fixture. If a shorter abutment can be used, because the retention for most abutments is the same, there is less risk of torque on the implant, possibly avoiding fracture of the head or loss of the implant. One approach has focused on controlling or decreasing the horizontal component of the bone loss by a technique known as platform switching, which refers to the use of a smaller diameter abutment on a larger diameter implant collar.5
In their paper in 2006, Lazzara and Porter described such a connection, which shifts the perimeter of the implant–abutment junction inward toward the central axis of the implant. They hypothesized that such an inward movement of the implant junction also shifts the inflammatory cell infiltrate inward and away from the crestal bone, which then limits bone resorption around the coronal aspect of the implant.
A systematic review and meta-analysis for platform switching for marginal bone preservation around dental implants was done in October 2010 by Atieh and Atieh. The authors mentioned that platform switching for maintaining peri-implant bone levels had gained popularity among implant manufacturers over the previous few years. They stated that the assumption that inward shifting of the implant–abutment junction might preserve crestal bone was primarily based on serendipitous findings rather than scientific evidence. Their study objectives were to systematically review radiographic marginal bone-level changes and the survival of platform-switched implants compared to conventional platform-matched implants. These trials compared marginal bone-level changes around platform-switched dental implants with those that had been restored with platform-matched prostheses. Ten studies with 1,239 implants were included. They found that it was true that the marginal bone loss around platform-switched implants was significantly less than that around platform-matched implants.6 There was insignificant bone loss detected in the platform switched cases, compared to non-platform where bone loss has been seen. The difference was clinically significant, as the mimimal amount of bone loss from placement would make it easier for the patient to maintain clinical health. The technique of platform switching uses a smaller diameter abutment on a larger diameter implant collar, which can control/decrease the horizontal component of bone loss.7
In 2009, researchers studied short-term bone level observations associated with platform switching in immediately placed and restored single maxilla implants.5 Provisional crowns were adapted and adjusted for nonfunctional immediate placement on each implant and the final crowns were constructed two months later. All implants were successfully osseointegrated in the test group.
Further establishing the platform-switching technique for use in the prevention of postrestorative crestal bone loss was a randomized prospective multicenter trial completed in 2009.8 The purpose of the study was to evaluate the effectiveness of the platform-switching technique to prevent crestal bone loss following the restoration of dental implants. In the multicenter trial, a total of 360 implants were placed, with 60 placed in each group. Three control implants failed during the second year following placement. All of the submerged and 92% of the nonsubmerged platform-enlarged implants exhibited no bone loss. Control implants with an abutment as large as the implant platform exhibited clinically significant more bone loss (at least 1+ mm) than their platform-enlarged counterparts or control implants with a reduced abutment. Submerged implants with an enlarged platform showed better crestal bone preservation than submerged control implants with a reduced abutment. The findings of this multicenter trial indicate that the use of implants with an enlarged platform can result in better preservation of crestal bone as compared with conventional cyclindric implants when a reduced abutment is mounted.
Another major consideration for evaluation of peri-implant marginal bone loss is microthread location. In a 2009 study, a comparative analysis of peri-implant marginal bone loss based on microthread location showed minimal bone loss (at least 75% less bone loss) around implants when microthreads were placed at the implant top compared to those in which microthreads were placed below the top.9
Case Reports
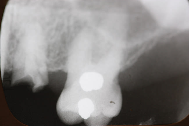
A 39-year-old woman was seen for evaluation, wanting her recently fractured upper left second bicuspid (x-ray pictured in Figure 1) repaired. She reported a prior dental history of an abscess that had developed under a large silver filling and, to resolve the problem, she had undergone endodontic treatment and had a traditional porcelain-fused-to-metal (PFM) crown put in. She was chewing on an almond when the tooth cracked and the crown came off. Clinical examination suggested that the root was too short to lengthen surgically. It was decided to remove the tooth and place a dental implant. The extraction site did not require bone grafting to maintain the width of the ridge.
A 4.3-mm diameter Hiossen implant (www.hiossen.com) was placed and maximum torque of 60 newton centimeters was achieved. The implant used in this case had microthreads on the top quarter of the implant and the abutments placed were narrower than the head of the implant. This relationship of decreased abutment/implant diameter is described as platform switching. The implant was fully integrated and uncovered in 4 months, with a temporary abutment placed (Figure 2). With an internal connection design—which can create an optimal condition for the preservation of crestal bone—providing a more rigid connection from a mechanical standpoint,10 the implant was restored using a traditional PFM crown, which established optimal emergence profile. Figure 3 shows the crown in place for 18 months, with no tissue inflammation.
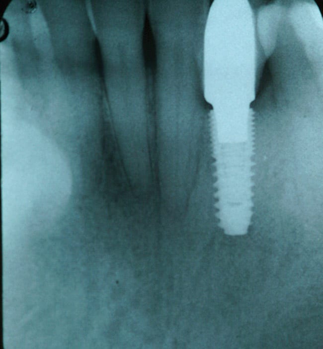
In a similar case, a 45-year-old man presented with tooth No. 13 fractured 2 years after having a porcelain crown made (Figure 4). His dental condition was excellent with only five amalgam fillings in his mouth. He was interested in an immediate replacement because he felt uncomfortable chewing without this tooth. He had considered a fixed bridge but was reluctant to prepare the two adjacent teeth, which had very small amalgams in them. He elected to have the root extracted and an immediate implant placed. Figure 5 is an x-ray of a 4.3-mm Hiossen implant placed with a torque of 60 newton centimeters and restored with a provisional abutment. After the patient felt the bite was comfortable, a final crown with a screw-retained single-piece crown and abutment (Figure 6) was inserted. The x-ray pictured is 2 years post-insertion with no bone loss visible. The implant has maintained the same alveolar bone level since placement and appears stable due to the platform-switch placement of the abutment.
In another case showing the benefit of platform switching, a 40-year-old man presented with a missing lower right cuspid (Figure 7), which he reported was traumatically evulsed in a fistfight. He had limited finances and was unemployed for more than a year before he was able to afford to replace it. Since the two adjacent teeth were unrestored, he did not want to possibly damage them with crown abutments for a fixed bridge. He was offered a dental implant, restored with a single crown, and he accepted the treatment. Figure 8, a 2-year post-placement x-ray, shows no bone loss. A platform-switched abutment supports the crown on a 5.0-mm Hiossen implant with cervical microthreads at the top and placed with 60 newton centimeters torque. Figure 9 shows the final crown in place for 2 years, with optimal emergence profile and no tissue or bone loss. The microthreads have acted to stabilize the peri-implant marginal bone.
Conclusion
Permanent replacement of missing teeth without the loss of crestal bone now appears to be feasible. Platform switching appears to be a promising method for preserving bone as well as assisting in optimal emergence profile, with crown restorations closely mimicking natural teeth.
References
1. Brånemark PI, Adell R, Breine U, et al. Intra-osseous anchorage of dental prosthesis. I. Experimental studies. Scand J Plast Reconstr Surg. 1969;3(2):81-100.
2. Norton MR. Marginal bone levels at single tooth implants with a conical fixture design. The influence of surface macro- and microstructure. Clin Oral Implants Res. 1998;9(2):91-99.
3. Quirynen M, Navert I, van Steenberghe D. Fixture design and overload influence marginal bone and fixture success in the Brånemark system. Clin Oral Implants Res. 1992;3(3):104-111.
4. Naert I, Duyck J, Hosny M, et al. Evaluation of factors influencing the marginal bone stability around implants in the treatment of partial edentulism. Clin Impact Dent Relat Res. 2001;3(1):30-38.
5. Lazzara RJ, Porter SS. Platform switching: a new concept in implant dentistry for controlling postrestorative crestal bone levels. Int J. Periodontics Restorative Dent. 2006;26(1):9-17.
6. Atieh MA, Ibrahim HM, Atieh AH. Platform switching for marginal bone preservation around dental implants: a systematic review and meta-analysis. J Periodontol. 2010;81(10):1350-1366.
7. Canullo L, Goglia G, Iurlaro G, Iannelo G. Short-term bone level observations associated with platform switching in immediately placed and restored single maxilla implants: a preliminary report. Int J Prosthodont. 2009;22(3):277-282.
8. Prosper L, Redaelli S, Pasi M, et al. A randomized prospective multicenter trial evaluating the platform-switching technique for the prevention of postrestorative crestal bone loss. Int J Oral Maxillofac Implants. 2009;24(2):299-308.
9. Song DW, Lee DW, Kim CK, et al. Comparative analysis of peri-implant marginal bone loss based on microthread location: a 1-year prospective study after loading. J Periodontol. 2009;80(12):1937-1944.
10. Norton MR. An in vitro evaluation of the strength of an internal conical interface compared to a butt joint interface in implant design. Clin Oral Implants Res. 1997;8(4):290-298.
About the Author
Neil R. Gottehrer, DDS*
*Guest Lecturer, Oral Biology
Stony Brook School of Dental Medicine
Guest Lecturer, Periodontics
University of Maryland Dental School
Baltimore, Maryland